CASE

事例紹介

幼少期から受診いただいている

ご兄妹の治療事例を

ご紹介します。

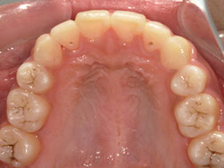
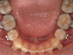
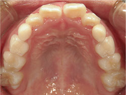
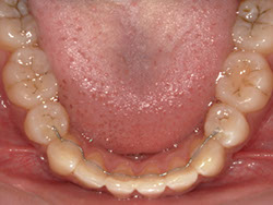
1期治療でスケルトンタイプの拡大装置で歯列拡大後、歯も抜かずにきれいになりました。

矯正前
矯正中
矯正終了後

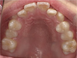
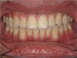
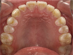
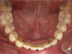
1期治療でスケルトンタイプの拡大装置で歯列拡大後、上下第一小臼歯を抜歯して口元もキレイになりました。

矯正前
矯正中
矯正終了後

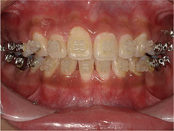
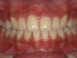
始めは虫歯の治療も大暴れでした。

今では笑顔で通院してくれています。

 

北林歯科医院 Kitabayashi Dental Clinic
Follow us

フォーローして最新のお知らせをご確認ください

北林歯科医院 Kitabayashi Dental Clinic

予約についてお願い

京阪本線「深草」駅 徒歩1分

駐車場完備

診療時間

診療カレンダー

休 診

当医院は予約制です。他府県からの患者様も多くおられます。

一回ごとの治療時間を確保しております。都合が悪くなられた場合は、必ず事前にご連絡ください。当日やむを得ずキャンセル場合は、できる限り早めの連絡をお願いします。尚、治療の内容によってはお待たせすることもあると思いますが、何卒、ご理解とご協力のほどよろしくお願い申し上げます。

…第3土曜のみ休診

…第3土曜が休診となる週のみ診療

  • 木曜は休診ですが、第3土曜の週については診療いたします。
  • 状況により診療を行っている場合もあります。ご了承ください
  • 詳しくは診療カレンダーをご確認ください。

〒612-0889

京都府京都市伏見区深草直違橋10丁目157

日曜・祝祭日・木曜/第3土曜

発 信

医療法人銀嶺会 北林歯科医院

〒612-0889 京都市伏見区深草直違橋10丁目157

Tel/Fax 075-647-0506

京都市伏見区深草の歯医者さん「北林歯科医院」

 © 2017 Kitabayashi Dental Clinic